Posted by: Ilya Haykinson | April 9, 2008

Ultrasound very sound, very ultra; telling our parents

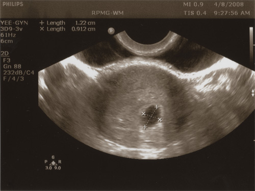
Linda must be getting somewhat tired of having herself poked with various phallic-looking medical devices, but with the aid of one we got a picture of a little something growing inside of her. There was a very pretty picture of a nice little uterus, with a bump in the right place, and a little egg sack in the middle. Our doctor (our infertility doctor, really) was happy to point out the various parts of what we saw, measure the egg sack, etc. We’ve got another appointment for a week from now to look for a visual heartbeat (apparently it’s going to be hard to tell, but it should be a couple of tiny little lines moving up and down).

After the appointment I went to work, but started scheduling dinner with our folks. I SMSed my dad to invite him to dinner with Linda’s parents (he claims that he guessed at that point what this was about — I guess he could have, though he had reason not to as just two days prior I told him there was no news to report). Late tonight we met up for dinner at PF Chang’s in Santa Monica and Linda told ’em all. I think that they’re all really happy for us and themselves, which is what we certainly hope for!

Of course they’re all bound by a covenant not to tell others for a few weeks, until we get a bit further along.

Also, Linda’s been trying to get me to read the Mayo book on pregnancy for a few days now. I’ve been kind of avoiding it (the book is big, and I already do a bunch of web surfing on kids and pregnancy etc — probably more than I really have time for). I suppose that to be on the same page on her pregnancy, though, I need to find the time and read the book, or at least the section on the current week.

I think Linda’s been feeling more tired lately, too. Other than totally hyper-frequent bathroom visits, which she blames on drinking too much water, she’s also been getting more tired quicker. I guess I don’t blame her — growing anything from a normal body is a tough job for the system.


Responses

  1. Ana and Bill's avatar

    Ilya, on my previous comment I forgot to tell you how much I love the title:
    Ultrasound very sound, very ultra…!

  2. Ilya Haykinson's avatar

    Thanks πŸ™‚


Leave a comment

Categories